Someten a dos cirugías a agente de la SSP, herido en Tzucacab
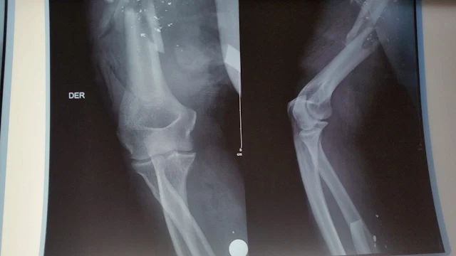
MÉRIDA, Yucatán.- El agente de la Secretaría de Seguridad Pública (SSP) J.M.C.C, fue intervenido quirúrgicamente en oocasiones en el IMSS debido a las lesiones que le causaron en el brazo derecho los tiros de una escopeta, en el operativo realizado en la comisaría Xcobiacal del municipio de Tzucacab.
Médicos ortopedistas y angiólogos del Centro Médico Nacional "Ignacio García Tellez" (T-1) del IMSS, practicaron las cirugías para reparar huesos y arterias dañadas por los impactos de arma de fuego.
En cuanto a las lesiones óseas, el policía sufrió fractura fragmentada de húmero y radio.
La intervención médica oportuna busca que el elemento pueda salvar el brazo y disminuir el riesgo de que alguna función de esa extremidad quede comprometida.
Las heridas causadas por los perdigones de la escopeta pudieron ser de peores consecuencias de no ser porque el oficial tenía puesto su chaleco balístico.
Respecto al hecho ocurrido en la mencionada comisaría, la SSP reitera que se procederá en estricto apego a derecho, como se ha hecho desde el principio poniendo a disposición de la Fiscalía General del Estado a los elementos que participaron en el operativo.




No hay comentarios.